



Specifications:
• Scanning mode: Electronic array
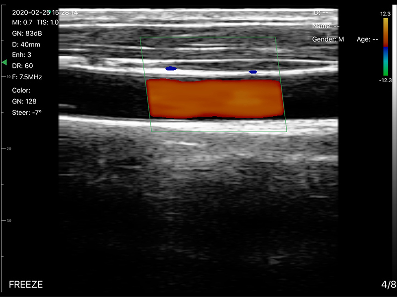
• Display mode: B, B/M, color doppler version with B+Color, B+PDI, B+PW
• Element: 128
• Channel: 32
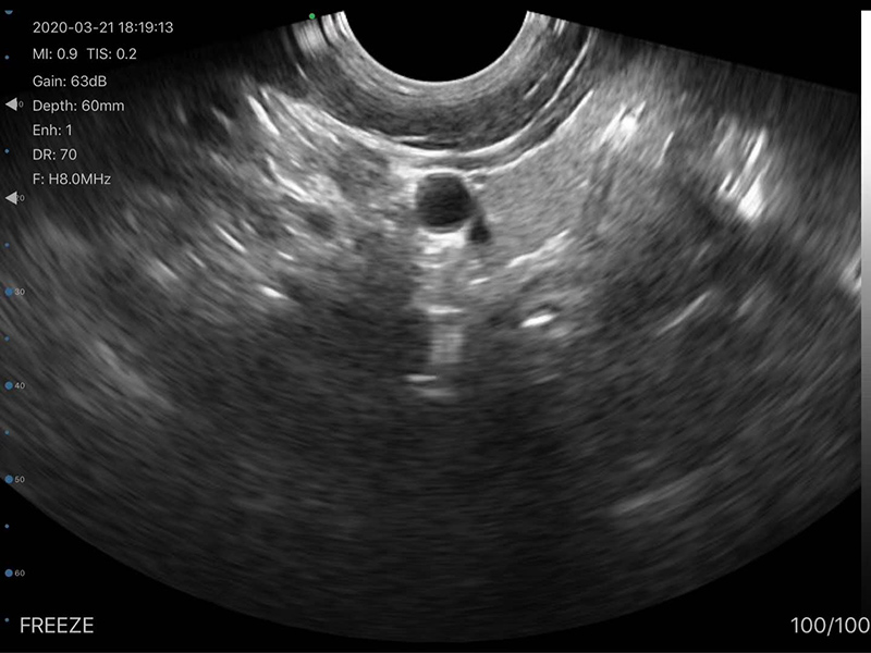
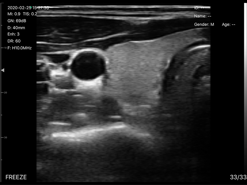
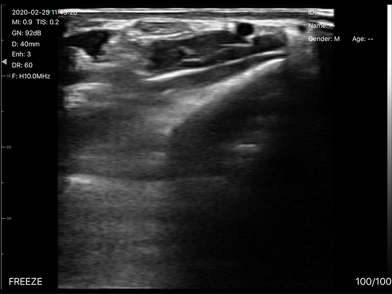
• Probe frequency and scan depth, scan angle and width:
Linear head 7.5MHz/10MHz, 20/30/40/55mm, 40mm;
Transvaginal head 6.5MHz/8MHz, 30/60/90/120mm, 13°
• Image Adjust: BGain, TGC, DYN, Focus, Depth, Harmonic, Denoise, Color Gain, Steer, PRF
• Noise reduction: 0-1-2-3-4
• Cineplay: auto and manual, frames can set as 100/200/500/1000
• Puncture assist function: the function of in-plane puncture guide line,
out-of-plane puncture guide line, automatic blood vessel measurement.
• Gain: 30db-105db
• Dynamic Range: 40/50/60/70/80/90/100/110
• Image/Video Storage: Store on mobile phones, Tablet PC
• Measure: distance, area, obstetrics and other
• Power: by built-in lithium battery, 2800mAh
• Battery working time: 3 hours
• Size: 336mm×70mm×20mm
• Net Weight: 300 g





