The First People’s Hospital of Xianyang City Successfully Having been Carried out the City’s First W
- 2023-03-03
- 2561
- Guangzhou Sonostar Technologies Co., Limited
Recently, the hospital’s Breathe & Critical Illness Department had successfully completed a hydropericardium puncture drainage guided by a wireless probe ultrasound for a seventy-nine old people. What the operation is different from the past treament case is that it is done at bedside of the sickroom by clinicians through the newest wireless probe ultrasound technology, which opens a new chapter of the city’s accurately clinical diagnosis and treat by ultrasound.

Respiration Medicine’s 2nd Endemic Area Using the Wireless Probe Ultrasound to Operate a Pericardiopuncture
Grandpa Wang had been Chronic Obstructive Pulmonary Disease for more than 30 years. Two months ago, his disease became worse for getting a cold, he had not received good treatment effect in the local hospital, came to The First People’s Hospital of Xianyang City through introduction and saw a doctor in the 2nd Endemic Area of Respiration Medicine. The medical permanence, Liang Jie recepted when he came here at the closing time. Mr. Liang found obvious symptoms including worse spirit, chess distress, pant, as well as much effusion in pericardium by CT-Scan Chest. Mr. Liang was aware of a bad thing and immediately reported it to the department’s director, Kang Kai. After director Kang came to the office, he used the wireless probe ultrasound on site to rapidly check Grandpa Wang, confirmed at once that there was much hydropericardium, and confirmed a better puncture position for Mr Wang. After communicating with Mr.Wang and his relation, Mr. Kang and Mr. Liang implemented the first hydropericardium puncture drainage real-time guided by the wireless probe ultrasounnd in real-time. Holding the ultrasound instrument, staring at the IPAD screen, Mr. Kang confirmed again the puncture position, direction, angle and depth during the operation, in the meanwhile, he directed Mr. Liang performed the puncture drainage with the aid of the ultrasound in real-time.Liquid in Mr. Wang’s pericardial cavity was slowly extracted by a thin hosepipe, his chest distress symptom gradually remitted and locked brows started to stretch, and the operation was successfully completed. Mr. Wang’s relation who was in anxiety outside the ward saw him perfectly calm, had become quite a different person between pretherapy and post-treatment, nearly believed their own eyes, and asked his feeling again and again. When Mr. Wang gave a positive answer, his relation held up their thumbs in excitement to the two doctors, and raised praises on the doctors with excellent medical skills and the advanced instrument.

Wireless Probe Ultrasound Probe and Display Screen
Compared to four punctures of internal medicine(thoracocentesis, abdominocentesis, lumbar puncture and bone marrow puncture), Mr. Kang introduces that pericardiopuncture is more risk and difficult. In the past, patients with hydropericardium must left for the ultrasound department to position, and then the doctor could perform pericardiopuncture drainage, which course use static guidance. Now, with help of the wireless probe ultrasound, trained clinical doctors can perform real-time dynamic guidance operation with the ultrasound, which dispels misgivings about clinicians’inaccurate position, and which provides reliable guarantee for successfully implementing operation.

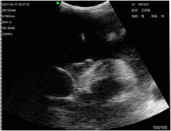
Ultrasound Dynamic Guidance Image Effect during Operation

Mr. Kang Using the Wireless Probe Ultrasound to Make the Rounds of the Wards after Operation
It is known that it is the city’s first wireless probe ultrasound instrument, small in size, portable, high precision rate.
As a high-tech product in the modern ultrasound technique field, it gives clinical doctors a pair of bright eye and makes the previous unviewable become the visual, which reduces difficulty from all kinds of puncture operation and obviously improves safety. For it is portable, it is suitable for real-time ultrasound guidance during operation, which can effectively improve clinician’s ability to solve practical problems, promote the precisely visual medical development in clinical department, reduce the ultrasound doctors’ burden, and prove a powerful tool for telemedicine.





















Home
Product
News
Contact